Comment fonctionne la peau et comment ralentir son vieillissement

Comment fonctionne la peau et comment ralentir son vieillissement

La peau est bien plus qu’une simple enveloppe extérieure. C’est un organe complexe qui protège ton corps tout en jouant un rôle essentiel dans ton apparence. Comprendre sa structure et son fonctionnement te permet de mieux en prendre soin. Voici l’essentiel à savoir sur sa structure, son processus de renouvellement cellulaire et les moyens concrets de le soutenir.

Comment est structurée la peau ?

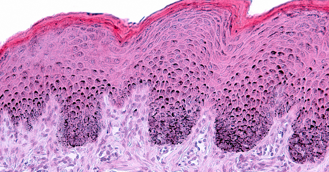
La peau comporte trois couches principales, chacune ayant un rôle bien précis :

  1. L’épiderme : La couche superficielle qui constitue une barrière contre les agressions extérieures. Elle est constituée de cellules appelées kératinocytes, qui migrent progressivement vers la surface. C'est pour cela que notre peau s'exfolie naturellement.
  2. Le derme : La couche intermédiaire, riche en collagène et en élastine, qui donne à la peau sa fermeté et son élasticité. C’est également là que se trouvent les vaisseaux sanguins, les glandes sébacées et les follicules pileux.
  3. L’hypoderme : La couche la plus profonde, composée de tissus adipeux, qui protège contre les chocs et régule la température corporelle.

Chaque couche joue un rôle essentiel pour maintenir une peau saine et protégée. Ces trois couches forment une structure dynamique qui se régénère en continu.

Qu’est-ce que le renouvellement cellulaire ?

Le renouvellement cellulaire correspond à la capacité de la peau à produire de nouvelles cellules et à éliminer les anciennes. Les nouvelles cellules sont produites dans la couche basale (la plus profonde de l’épiderme) et migrent vers la surface. Lorsqu’elles atteignent la couche cornée, elles meurent et forment une barrière protectrice avant de se détacher (desquamation ou exfoliation). 

En moyenne, chez une jeune adulte, ce cycle dure environ 28 jours. Mais avec le temps, il ralentit : vers 40-50-60 ans, le cycle peut s'étirer jusqu'à plus de 40 jours. Résultat ? La peau devient plus terne, plus fine, moins résistante et met plus de temps à se réparer.

Avec l’âge, ce processus ralentit. 

À partir de quel âge la peau commence-t-elle à vieillir ?


Le processus de vieillissement cutané débute dès la vingtaine, bien qu’il soit souvent invisible à cet âge. Voici les étapes clés :

  • 25-35 ans : La production de collagène et d’élastine diminue légèrement. Les premières ridules d’expression peuvent apparaître.
  • 35-45 ans : Le renouvellement cellulaire ralentit, et la peau perd progressivement en fermeté et en éclat.
  • 45 ans et plus : La production de collagène chute drastiquement, les rides se creusent et la peau devient plus fine.

Ce vieillissement est influencé à la fois par des facteurs internes (génétiques, hormonaux) et externes (soleil, pollution, tabac, stress oxydatif).

Comment stimuler les cellules cutanées pour ralentir le vieillissement ?


Il existe des stratégies précises pour activer et soutenir les cellules responsables de la jeunesse de la peau. Voici les principales :

  1. Activer les cellules avec des soins à base de facteurs de croissance (EGF)

    • Exfolie ta peau régulièrement pour éliminer les cellules mortes et stimuler le renouvellement.
    • Utilise des sérums riches en actifs comme l’acide hyaluronique ou la vitamine C pour hydrater et booster la régénération.
    • Les soins Bioeffect sont formulés autour de l’EGF d’orge (facteur de croissance épidermique), une molécule naturellement présente dans la peau, capable de stimuler directement la production de collagène et d’élastine. Les facteurs de croissance (comme l’EGF, Epidermal Growth Factor) sont des protéines naturellement présentes dans le corps. Ils envoient des signaux aux cellules cutanées pour leur dire de se réparer, de produire du collagène et de l’élastine, et de renouveler les tissus.

      La marque BIOEFFECT est pionnière dans ce domaine avec un EGF d’origine végétale, cultivé dans l’orge islandaise. Leurs soins misent sur la pureté des formules et l’efficacité ciblée. L’idée ? Moins d’ingrédients pour que l’EGF puisse réellement pénétrer et agir sans interférence.

  2. Nelly De Vuyst : correction, éclat et fermeté

    Si tu cherches une approche plus personnalisée, avec des soins adaptés à des besoins spécifiques comme les taches, la perte de fermeté ou la peau terne, Nelly Devuyst est un incontournable.

    Quelques favoris pour stimuler le renouvellement et illuminer la peau :

    • Radiance Vitalift-C HA Serum : vitamine C stabilisée + acide hyaluronique pour un effet coup d’éclat et un teint uniforme.

    • Crème Radiance & Huile Radiance : parfaites pour les peaux hyperpigmentées ou ternes, en manque de lumière.

    • Sérum Lifting Peptides & Crème Collagen : riches en peptides biomimétiques et collagène hydrolysé, ces soins soutiennent les peaux en perte de fermeté et préviennent les rides profondes.

    Leur approche certifiée bio (Ecocert) et conçue à Montréal est idéale pour les peaux sensibles ou réactives qui veulent des résultats visibles.

  3. Protéger ta peau des agressions extérieures

    • Appliquer un écran solaire à large spectre quotidiennement — l’oxydation solaire reste le principal facteur accélérant la dégradation du collagène et de l’élastine.
    • Hydrate ta peau pour maintenir une barrière cutanée solide.
  4. Soutenir l’oxygénation cellulaire et stimuler la peau

    • Les cellules cutanées ont besoin d’oxygène pour produire de l’énergie (ATP) et assurer un renouvellement optimal. Les soins comme le traitement d’oxygénation hyperbare, que je propose en institut, viennent booster l’oxygénation des tissus, améliorant ainsi leur vitalité et leur capacité de régénération.
    • Favoriser une bonne microcirculation (avec des massages, des soins en institut ou des techniques comme l’oxygénation tissulaire) améliore la vitalité cellulaire et la réceptivité de la peau aux actifs.
  5. Soutenir la peau de l’intérieur

    • Nutrition ciblée : Les antioxydants comme les vitamines C et E, les acides gras essentiels, les polyphénols (présents dans les baies, le thé vert, etc.) protègent les cellules du stress oxydatif.

    • Hydratation : Bois suffisamment d’eau pour maintenir l’élasticité et la souplesse de la peau.

    • Sommeil réparateur : La régénération cellulaire s’effectue principalement la nuit. Offrir à ton corps un sommeil profond, régulier et réparateur est donc essentiel.

    • Limiter le stress, pratiquer la méditation ou la marche à l'extérieur. 

En résumé :
La peau est un organe complexe qui se renouvelle constamment, mais dont le processus ralentit avec l’âge, entraînant les premiers signes visibles de vieillissement dès la trentaine. En adoptant une routine de soins adaptée, en protégeant ta peau et en stimulant ses cellules, tu peux ralentir ce processus et conserver une peau éclatante et en bonne santé.

 

Découvre la collection Bioeffect pour prendre soin de ta peau en cliquant ici : lien vers la collection et lien vers la collection Nelly Devuyst Perte de Fermeté, anti-âge rides

 

Pour en savoir plus, je t’invite à consulter l'article suivant : BIOEFFECT : régénération cellulaire inspirée par la science végétale: voir l'article

 

P.-S. Quels gestes ou soins as-tu adoptés pour préserver la jeunesse de ta peau ? Partage-les avec moi, j’adorerais te lire ! 🌿

_________________________________________________________________

 

À propos de moi
Je suis Karine, naturo-esthéticienne passionnée depuis plus de 20 ans. 🌿 Mon amour pour la nature et ma curiosité pour ses bienfaits m’ont naturellement menée à me spécialiser dans les soins de la peau naturels et biologiques.

Le maquillage permanent, tel que je le pratique, reflète ma philosophie de la beauté au naturel. Mon objectif est de mettre en lumière ta beauté unique avec élégance et délicatesse. C’est également un choix écologique, qui réduit l’utilisation de produits jetables et les déchets d’emballages. C’est une solution idéale pour allier simplicité, durabilité et élégance naturelle.

Si ma personnalité, mes valeurs et ma vision résonnent avec toi, abonne-toi à mon infolettre ! Un moment d’échange et de confidence où je partage, à travers des histoires inspirantes, ma passion pour la beauté naturelle. 🌿✨

Retour au blog

Laisser un commentaire

Veuillez noter que les commentaires doivent être approuvés avant d'être publiés.